医院介绍
雅贝康口腔医院是一家由国内创立的技术相关的一家口腔机构,内有数名专家,还有相关专业的口腔医护人员并且该口腔机构对于牙齿的种植、修复、美白等方面都有涉及,该机构对每一位前来医治的患者都是一直处于一视同仁的态度,在技术和美两个方面都达到极高的水平和要求,完全满足患者的一系列要求,且该机构在诸多地方都有驻地,该机构内的医生也经常进行技术性的探讨交流,设备的运输也十分的及时,不会出现什么设备不到位的情况,十分靠谱。

医院环境
该医院建立于半山之间,周围绿茵环绕,来这里治病的病人都不免会感到一阵的放松,而且院内还配有诸多高耸青绿的大树以及院内的温泉也使该医院看起来更充满了生机与惬意。
医院设备
该医院内的设备大多数来自于国内的高新技术产品,有少部分的精密仪器来源于国外,拥有这些设备也使该医院的治疗能力大幅度提升,使患者在这里能够得到最全面有效的治疗。
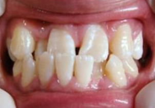
案例
术前:整齐的牙齿是我所魂牵梦萦的,我的牙齿因为口腔问题困扰,看起来一直都是东倒西歪的,为此我十分苦恼、自卑,我能感觉到那些见过我牙齿后在偷偷的笑话我,我的生活和工作受到了很大的影响,我也不敢笑,生怕不认识的人发现了我的缺陷。

术中:医生对我的牙齿进行了一系列的分析,而且并且这里的医生也有着丰富的临床经验,我没有太大的忧虑,在检查当中事无巨细,很为我考虑,治疗方案也是和我商量过了才决定手术的,十分在意我的感受,没有说自己专业硬就自己决定。
术后:治疗终于结束了,我的形象一下大变样,我的生活在潜移默化中改变了,感觉自己备受信任,在公司和生活中有了改变,生活变得和睦了,我也变得更加自信了,十分感谢雅贝康口腔医院给我带来的巨大变化。

口碑
在这里医治过的病人,每一位都对其赞不绝口,因为不仅是因为他们的技术有多么的高明,更主要的是这里的医生对待每一位病患都有着充足的耐心,对于每一位病人的问题都是认真负责的进行回答,所以,这家医院就是靠着这些优点,在当地有着良好的口碑,也让许多人民百姓对这家医院充满了喜爱之情。
雅贝康口腔医院路线
公交:从建国路站乘坐43路乘坐16站然后步行139米到达雅贝康口腔医院。
价格表
| 整形项目价格表 | |
| 整形项目 | 本月整形价格参考 |
| 美容冠 | 10807-32608 |
| 龅牙矫正 | 23397-32174 |
| 地包牙矫正 | 22477-32602 |
| 虎牙矫正 | 15893-28744 |
| 牙齿不齐 | 13348-30198 |
| 牙齿稀疏 | 12243-30362 |
| 牙齿拥挤 | 21830-26568 |
| 隐适美 | 10760-16511 |
| 隐形正畸 | 10908-21136 |
| 金属托槽矫正 | 10773-22844 |
| 自锁托槽矫正 | 10729-23267 |
| 透明托槽矫正 | 10934-16930 |
| 透明隐形矫正 | 10813-23958 |
| 隐形矫正 | 10934-21299 |
| 隐形牙套 | 10870-31767 |
| 牙齿拥挤矫正 | 10850-20867 |
| 地包天矫正 | 10836-25337 |
| 凸嘴矫正 | 10704-28759 |
| 金属托槽 | 10931-23560 |
| 半隐型矫正 | 10953-27714 |
| 陶瓷矫正 | 10890-29385 |
| 深覆颌 | 10811-25643 |
| 牙套 | 10997-32080 |
| 牙颌畸形 | 10864-28328 |
| 以上价格仅供参考,实际价格请预约医院面诊获取! | |
| 各地活动力度不同,价格有所不同,到院面诊为准! | |
