一、鄞州儿童口腔医院
鄞州儿童口腔医院一直致力于口腔医学的研究,是一家全面综合的口腔医学,医院内多项指标都达到优秀线以上,其中以医学服务和护理这两块内容分别收获了许多的好评,也被市内政府多次表扬,是当地口碑极好的一家口腔医院。
鄞州儿童口腔医院的口腔治疗效果很强,许多的疑难杂症在这家口腔医院都能得到有效解决,其中儿童的口腔治疗最为厉害,也获得了一些荣誉奖,多达20几项,在医学技术这块医院也是可以放心的。
医院内的每个口腔医生都经过严格地培训,都担任过重要手术的主刀医生,患者可以放心地将自己交给医生,会得到一个理想的口腔效果。

二、鄞州儿童口腔医院环境
医院内为了服务每一个口腔患者,在每个科室的门诊室内放置了许多清香的植物,以及好看的装饰,让患者能感受到一种优雅愉悦的感觉,同时每天也会定时清扫,在医院内每天在各个地方都会进行消毒,确保一个环境的干净和安全。
三、医院设备
鄞州儿童口腔医院在国外购置了很多的先进医学设备,每个科室至少都有两台以上的先进设备,这些设备每个医生都能熟练使用,在口腔治疗中发挥了很强的作用,就比如最近购置的牙齿纠正机械就发挥了性能,还配置了辅助机械拱使用。
四、鄞州儿童口腔医院牙齿纠正案例分析
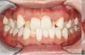
我的牙齿看起来乱七八糟的,简直就像是獠牙,因此想要通过鄞州儿童口腔医院的帮助下,让我的牙齿得到纠正,变成整齐的牙齿。
术前图片

牙齿纠正手术除了牙齿感觉到一点麻以外,倒是没什么了,最后也是顺利地完成,医生进行了后期恢复事宜的讲解。
术后图片

做完之后,牙齿明显得到了好装,真的是一幅整齐的牙齿了,感谢鄞州儿童口腔医院的帮助。
五、鄞州儿童口腔医院口碑
鄞州儿童口腔医院每年都会进行各个口腔治疗,都得到了有效解决,为医院收获了很多的好评,积累了口碑,并且医院会定期进行免费地知识科普和检查,帮助大家了解牙齿的健康程度,为大家着想。
六、鄞州儿童口腔医院乘车路线
59路到长寿南路钱丰巷口站下车
七、价格表
| 整形价格表 | ||||
| 整形项目 | 高价 | 低价 | 均价 | 当日 |
| 美容冠 | 32747 | 13608 | 23177 | 21680 |
| 龅牙矫正 | 29776 | 24159 | 26967 | 29530 |
| 地包牙矫正 | 26465 | 24057 | 25261 | 25041 |
| 虎牙矫正 | 30570 | 17599 | 24084 | 23491 |
| 牙齿不齐 | 31791 | 13872 | 22831 | 24555 |
| 牙齿稀疏 | 26140 | 12686 | 19413 | 18750 |
| 牙齿拥挤 | 27488 | 22265 | 24876 | 24383 |
| 隐适美 | 32991 | 10899 | 21945 | 20677 |
| 隐形正畸 | 31212 | 10833 | 21022 | 21846 |
| 金属托槽矫正 | 17713 | 10877 | 14295 | 14778 |
| 自锁托槽矫正 | 29209 | 10816 | 20012 | 20542 |
| 透明托槽矫正 | 25882 | 10870 | 18376 | 17170 |
| 透明隐形矫正 | 22151 | 10862 | 16506 | 15643 |
| 隐形矫正 | 31402 | 11000 | 21201 | 22861 |
| 隐形牙套 | 26940 | 10812 | 18876 | 19702 |
| 牙齿拥挤矫正 | 17790 | 10775 | 14282 | 14963 |
| 地包天矫正 | 23979 | 10875 | 17427 | 19000 |
| 凸嘴矫正 | 18258 | 10995 | 14626 | 15945 |
| 金属托槽 | 25814 | 10758 | 18286 | 19550 |
| 半隐型矫正 | 18836 | 10967 | 14901 | 16231 |
| 陶瓷矫正 | 25436 | 10868 | 18152 | 18963 |
| 深覆颌 | 18047 | 10757 | 14402 | 13839 |
| 牙套 | 27240 | 10809 | 19024 | 19657 |
| 牙颌畸形 | 27195 | 10881 | 19038 | 19314 |
| 以上价格仅供参考,实际价格请预约医院面诊获取! | ||||
| 各地活动力度不同,价格有所不同,到院面诊为准! | ||||
