燕郊口腔医院介绍
燕郊口腔医院是目前河北廊坊燕郊地区专业口腔医院,为每一位口腔患者提供专业化的医疗服务和护理,享受到健康的的治疗过程,多年以来,受到许多患者的喜爱,建立了深厚的口碑,成为当地口碑较好的口腔医院之一。
燕郊口腔医院在医学领域内拥有很多的成就,获得了无数的口腔医学荣誉,其中在牙齿修复、牙齿种植、牙齿矫正、牙齿美白等相关口腔美容领域居处于领先水平,帮助当地患者有效解决了口腔问题,实力相当强悍的口碑医院。
燕郊口腔医院同时也是当地牙齿预防指导中心,帮助当地居民进行免费地牙齿检查和护理,受到了当地政府的多次表扬,授予了热心医院称号之一,每年在公益事业上做出了许多的贡献。

燕郊口腔医院环境
燕郊口腔医院的环境一向是很干净,医院的走廊和过道几乎是没有垃圾,没有灰尘的,很多患者走进医院都能感受到医院的洁净,很多患者给医院的环境留下了好评。同时医院在安全这块也是周到的,经过安全组织的多次排查,没有任何的安全隐患。
燕郊口腔医院设备
燕郊口腔医院的设备是很先进的,一些设备是从德国和美国进口过来的,这些进口的设备发挥了很强的治疗效果,就比如说进口的医用洁牙机、牙髓活力测试仪、牙根管长度测定仪设备在治疗中有很大的作用。
燕郊口腔医院牙齿纠正案例分析
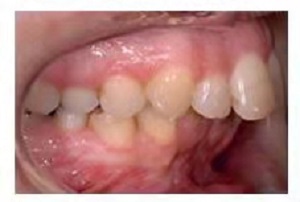
我的牙齿很不整齐,整个牙齿看起来很堵,每一块牙齿间隔很短,都快要凸出来了,很不好看,因此想通过燕郊口腔医院的帮助进行牙齿的纠正。
术前图片

牙齿纠正手术做的很理想,牙齿拥挤得到了极大的改善。
术后图片

经过手术之后,我看到了牙齿的间隔恢复正常,没有任何的突出,显得整齐白净,我喜欢现在的牙齿,感谢医院对我的帮助。
燕郊口腔医院口碑
燕郊口腔医院在当地是很有名气的,由于医院的医学技术和设备都是属于领先水平的,因此很多患者的牙齿问题得到了极大的改善,受到了很多的好评,积累口碑。
燕郊口腔医院乘车路线
805到通州北苑路口南站下车
价格表
| 整形价格表 | ||||
| 整形项目 | 高价 | 低价 | 均价 | 当日 |
| 美容冠 | 28790 | 11197 | 19993 | 19737 |
| 龅牙矫正 | 30070 | 23085 | 26577 | 28612 |
| 地包牙矫正 | 32654 | 22987 | 27820 | 29712 |
| 虎牙矫正 | 30021 | 19839 | 24930 | 26765 |
| 牙齿不齐 | 29595 | 13295 | 21445 | 22295 |
| 牙齿稀疏 | 32278 | 12299 | 22288 | 20388 |
| 牙齿拥挤 | 28649 | 20861 | 24755 | 24463 |
| 隐适美 | 22575 | 10718 | 16646 | 17353 |
| 隐形正畸 | 24034 | 10732 | 17383 | 18603 |
| 金属托槽矫正 | 24727 | 10753 | 17740 | 18478 |
| 自锁托槽矫正 | 26693 | 10993 | 18843 | 17359 |
| 透明托槽矫正 | 19123 | 10824 | 14973 | 15535 |
| 透明隐形矫正 | 28164 | 10788 | 19476 | 20015 |
| 隐形矫正 | 30735 | 10740 | 20737 | 19546 |
| 隐形牙套 | 23995 | 10701 | 17348 | 18133 |
| 牙齿拥挤矫正 | 30318 | 10911 | 20614 | 21121 |
| 地包天矫正 | 30954 | 10933 | 20943 | 18855 |
| 凸嘴矫正 | 32005 | 10765 | 21385 | 20907 |
| 金属托槽 | 16834 | 10979 | 13906 | 14910 |
| 半隐型矫正 | 19860 | 10934 | 15397 | 15010 |
| 陶瓷矫正 | 19459 | 10847 | 15153 | 13647 |
| 深覆颌 | 26476 | 10879 | 18677 | 17508 |
| 牙套 | 31502 | 10785 | 21143 | 22845 |
| 牙颌畸形 | 16808 | 10977 | 13892 | 14640 |
| 以上价格仅供参考,实际价格请预约医院面诊获取! | ||||
| 各地活动力度不同,价格有所不同,到院面诊为准! | ||||
