烟台顺达口腔医院介绍
顺达口腔医院,是在2010年的12月份成立的,这家医院的地址在烟台市芝罘区辛庄街,这家医院在烟台地区享有很高的知名度。可以做各种类型的口腔疾病和牙齿问题治疗,内部开设有口腔黏膜病专科,牙体牙髓病专科,牙齿矫正科,牙齿修复科,牙齿种植科,儿童齿科,还有牙齿美化等七大核心科室,医院内部的管理机制非常健全,都是按照公立正规三甲医院的模式在管理,所以服务人员和医生都很有责任心也非常专业。

烟台顺达口腔医院环境
顺达口腔医院内部环境非常好,有十余间符合国际标准的层流级手术室,每个科室都有单独的处置室和休息室,还有诊疗室都是非常干净整洁窗明几净的,还有专门为儿童开设的游乐专区,游乐转区旁边是陪同人员休息的休息区。总之整个医院的设计都很人性化,也很现代化。
烟台顺达口腔医院设备
顺达口腔医院设备比较多,没有办法一一细数,只给大家介绍集中比较有代表性的吧,例如口腔手机灭菌器、拔牙钳、牙挺、牙挖器等手术器具等,还有根管治疗仪,牙科抽吸系统,超声波洁牙机,喷砂洁牙器,牙齿保持器,各种类型的正畸牙套等等。
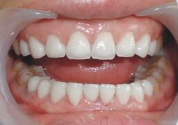
烟台顺达口腔医院洗牙案例
我对自己的面容美感还有口腔美感都很注重,可是不知道为什么最近一年多我的牙齿发黄的很严重,我用过很多据说能够让牙齿变白的牙粉和牙膏,可是效果一点也不好,没有办法,我决定借助医学手段,我来到了顺达口腔医院。

医生了解了我的需求之后,说我可以做洗牙,有超声波洗牙,也有喷砂洗牙,超声波洗牙的价位相对便宜,而喷砂洗牙的价位相对较高,经过反复思量我还是决定选择做喷砂洗牙。

在做勘察洗牙的时候,并没有什么明显的不适感,不过在做完的两天之内出现了牙齿过敏酸痛的情况,这种症状在做完喷砂洗牙第3天的时候开始好转了,在第5天的时候我就消失了。现在我做了喷砂洗牙已经有了7个多月,我的牙齿仍然像刚做完喷砂洗牙的时候一样洁白,医生说做好口腔护理,喷砂洗牙的效果可以维持更长时间。
烟台顺达口腔医院口碑
顺达口腔医院是一家口碑非常好的医疗机构,因为没有出现过乱收费和隐性消费的情况,而且这家医院的医生都非常有素质,技术水平也是非常不错的。
烟台顺达口腔医院乘车路线
想要到烟台顺达口腔医院,可以乘坐公交车73路、2路、45路、52路、6路、82路、8路到达。
烟台顺达口腔医院洗牙价格表
| 整形价格表 | ||||
| 整形项目 | 高价 | 低价 | 均价 | 当日 |
| 超声波洁牙 | 2315 | 448 | 1381 | 1290 |
| 咖啡牙美白 | 2097 | 421 | 1259 | 1290 |
| 喷砂洁牙 | 2024 | 318 | 1171 | 1217 |
| 色素牙美白 | 8181 | 451 | 4316 | 4275 |
| 茶渍牙美白 | 2387 | 440 | 1413 | 1319 |
| 牙美白 | 2163 | 451 | 1307 | 1285 |
| 以上价格仅供参考,实际价格请预约医院面诊获取! | ||||
| 各地活动力度不同,价格有所不同,到院面诊为准! | ||||
