医院介绍
雅卫士口腔医院从创立到如今一直都是为了患者的健康以及后面的舒适生活而奋斗,而且在经历了这些年的不断发展与进步现在的上雅卫士口腔医院在当地也能算的上前几名的存在,而且该院一直秉承着一定要为患者提供有效的综合治疗,而且不仅要从健康的方面来进行医治也要融合进去美观,该院对许多的口腔病患者都提供了一系列高品质的口腔医疗服务,虽然雅卫士口腔医院现在只是一家乙级中等医院,但是该院院长坚信总有一天雅卫士口腔医院会成为甲等级别的医院。

雅卫士口腔医院项目
雅卫士口腔医院有着诸多的项目列如:美容冠、龅牙矫正、虎牙矫正、牙齿不齐、金属托槽矫正等一系列的手术项目。
雅卫士口腔医院所获荣誉
优秀医院、百佳医院、文明单位、文明建设先进单位、精神文明先进单位、诚信先进单位、优秀组织单位。
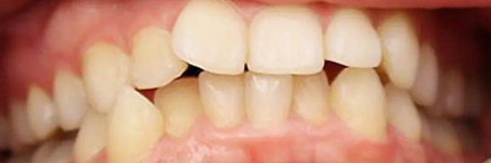
案例
术前:从我很早的时候开始我就对我的牙齿不满意,因为我的牙齿很不规则,而且很稀疏,让我感觉每一次我在说话的时候都容易漏风,所以这是一个长期困扰我的问题,所以这一次我来到雅卫士口腔医院就是为了彻底根治这个问题,虽然我很害怕,但是只要是能改变我就愿意去尝试一次

术中:雅卫士口腔医院的医护人员的服务都很好,有着丰富的临床经验和专业技术,同时十分在意患者的想法和感受,了解我的需求和经济条件再安排合理的手术时间,事无巨细,这样的责任感让我对手术也逐渐的放下了恐惧,选择相信雅卫士口腔医院的医生的能力。
术后:治疗终于结束了,我的形象一下大变样,我的生活在潜移默化中改变了,感觉自己备受信任,在公司和生活中有了改变,生活变得和睦了,我也不在像以前那样自卑了也慢慢的找回来自信,感谢雅卫士口腔医院给我带来的巨大变化。

口碑
总所周知,每一家医院的口碑都是由自己不断的努力所得来的,所以雅卫士口腔医院就是一直是一家以帮助百姓以及解决人民问题的医院,所以在当地该医院收到了许多老百姓的好评,并且他们一直认为这家医院能够让他们感受到温暖的感觉,所以该医院在当地也曾屡次获得奖励,这也是社会上对这家医院实力的认可,并且打下了坚实的口碑。
雅卫士口腔医院路线
公交:从火车客站乘坐114路乘坐7站然后步行164米到达雅卫士口腔医院。
价格表
| 整形项目价格表 | |||
|---|---|---|---|
| 项目名称 | 最高价格 | 最低价格 | 参考均价 |
| 种植牙 | 20600 | 6790 | 13695 |
| 镶牙 | 18150 | 9967 | 14059 |
| 活动假牙治疗 | 30446 | 13651 | 22049 |
| 假牙矫正 | 20163 | 10686 | 15425 |
| 冷光美白 | 2168 | 400 | 1284 |
| 皓齿美白 | 2424 | 481 | 1453 |
| 牙齿美白 | 22000 | 6300 | 14150 |
| 四环素牙美白 | 7987 | 438 | 4213 |
| 色素牙美白 | 8713 | 426 | 4570 |
| 咖啡牙美白 | 2485 | 416 | 1451 |
| 牙齿漂白 | 2359 | 385 | 1372 |
| 牙齿冷光美白 | 2547 | 372 | 1460 |
| 美国皓齿美白 | 26917 | 10311 | 18614 |
| 隐适美术 | 20436 | 9677 | 15057 |
| 烟渍牙美白 | 2410 | 380 | 1395 |
| 牙黄变白 | 2664 | 399 | 1532 |
| 氟斑牙美白 | 2457 | 437 | 1447 |
| 变色牙美白 | 2397 | 427 | 1412 |
| 黑牙美白 | 2525 | 416 | 1471 |
| 茶渍牙美白 | 2070 | 476 | 1273 |
| 牙美白 | 2539 | 399 | 1469 |
| 金属托槽矫正 | 25837 | 10035 | 17936 |
| 隐形矫正 | 31681 | 9189 | 20435 |
| 舌侧矫正 | 22600 | 6090 | 14345 |
| 自锁托槽矫正 | 31500 | 10512 | 21006 |
| 龅牙矫正 | 26568 | 21721 | 24145 |
| 虎牙矫正 | 27647 | 19561 | 23604 |
| 牙齿不齐 | 31236 | 12576 | 21906 |
| 隐形正畸 | 36278 | 9438 | 22858 |
| 牙齿稀疏 | 32426 | 10101 | 21264 |
| 牙齿矫正 | 22400 | 6160 | 14280 |
| 陶瓷托槽矫正 | 21000 | 6650 | 13825 |
| 无托槽隐形矫正 | 21200 | 6580 | 13890 |
| 前突牙矫正 | 30373 | 10853 | 20613 |
| 内收牙矫正 | 34236 | 10337 | 22287 |
| 透明托槽矫正 | 20990 | 9840 | 15415 |
| 透明隐形矫正 | 29672 | 9943 | 19808 |
| 隐形牙套矫正 | 25493 | 10605 | 18049 |
| 牙齿拥挤矫正 | 27652 | 10375 | 19014 |
| 凸嘴矫正 | 22907 | 10488 | 16698 |
| 半隐型矫正 | 27937 | 9495 | 18716 |
| 陶瓷矫正 | 24309 | 9779 | 17044 |
| 深覆颌矫正 | 19419 | 10279 | 14849 |
| 牙套矫正 | 35874 | 9100 | 22487 |
| 牙颌畸形矫正 | 23569 | 9249 | 16409 |
| 超声波洗牙 | 20600 | 6790 | 13695 |
| 喷砂洗牙 | 22400 | 6160 | 14280 |
| 牙齿抛光 | 1700 | 364 | 1032 |
| 合金烤瓷牙 | 19407 | 9266 | 14337 |
| 贵金属烤瓷牙 | 23732 | 9720 | 16726 |
| 二氧化锆全瓷牙 | 18257 | 9883 | 14070 |
| 烤瓷牙补牙 | 32058 | 10879 | 21469 |
| 美容冠 | 33505 | 12470 | 22988 |
| E-MAX整形 | 20492 | 9380 | 14936 |
| 3D全瓷牙贴面矫正 | 31533 | 10549 | 21041 |
| Mega隐形瓷贴面 | 22851 | 10387 | 16619 |
| 牙冠整形 | 29963 | 10083 | 20023 |
| 地包天矫正 | 56367 | 16602 | 36485 |
| 地包牙矫正 | 32105 | 19800 | 25953 |
| 上颚前突矫正 | 81608 | 39200 | 60404 |
| 天包地矫正 | 87208 | 36400 | 61804 |
| 下颚前突矫正 | 59528 | 15531 | 37530 |
| 上下颚矫正 | 58882 | 17585 | 38234 |
| 正颌手术 | 92796 | 49710 | 71253 |
| 下颌角肥大整形 | 187966 | 55046 | 121506 |
| 下颌角削骨矫正 | 138874 | 57145 | 98010 |
| 下颌角整形修复 | 118045 | 59139 | 88592 |
| 以上价格仅供参考,实际价格请到医院面诊获取! | |||
