牙祖口腔医院介绍
牙祖口腔医院在当地是一家很有名气的口腔医院,一直提供着全面的医疗护理,让许多口腔患者得到全面的治疗,多年下来,受到了很多患者的称赞,也受到了市内政府的多次表扬,授予了优秀口腔医院之一,不断致力于口腔医学的发展。
牙祖口腔医院是一家提供中高端的治疗,集合医疗、教学、预防、保健于一体的现代化口腔专科医疗机构。设有牙齿种植中心、齿列正畸中心、牙齿美学修复中心等过个护理项目,每个项目都可以帮助患者有效解决问题,受到了广泛的认可。
牙祖口腔医院建立到现在,收获了很多的奖项,医学研究这块也是硕果累累,在当地树立了优秀医院的形象,并且每年也会提供免费地口腔检查,帮助当地居民护理牙齿,名声很好。
牙祖口腔医院环境
牙祖口腔医院在环境这块收获了很多的赞扬,很多患者称赞这家医院在装饰上很懂患者的心理,病房,科室,过道多个地方都设置得简雅简单,不会看起来很乱,一眼就能知道医院的各个地点,简单明了,让患者感受到舒服干净。
牙祖口腔医院设备
牙祖口腔医院每个设备都是从国外引进过来的,都是先进设备,提供高效能的治疗恢复,几年下来,治疗的效率大幅度提高了,不仅帮助了医生,也帮助了患者,给医院积累了好的口碑。
牙祖口腔医院牙齿纠正案例分析
我的牙齿看起来很乱,很不协调,这也是因为我平时乱吃东西,也不护理造成的,所以就想通过牙祖口腔医院的帮助下,来完成牙齿的纠正,得到一双整洁干净的牙齿。
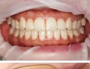
术前图片

手术做的很顺利,做完之后,我的牙齿明显整齐了很多,医生会进行相关方面的叮嘱,需要认真听。
术后图片

经过2周的恢复,我的牙齿明显变得整齐了,现在张开嘴不会再看到一排乱七八糟的牙齿了,看起来就舒服很多,谢谢医院对我的帮助。
牙祖口腔医院口碑
牙祖口腔医院凭借着多年在口腔医学的努力,受到了很多患者的认可,积累了不错的口碑,每年来这家医院进行口腔治疗的人越来越多了,并且都得到了有效的恢复,成为当地名声较好的医院之一。
牙祖口腔医院乘车路线
69到培元桥站下车
价格表
| 整形价格表 | ||||
| 整形项目 | 高价 | 低价 | 均价 | 当日 |
| 美容冠 | 31784 | 11625 | 21704 | 22177 |
| 龅牙矫正 | 32876 | 23023 | 27949 | 27275 |
| 地包牙矫正 | 31818 | 20998 | 26408 | 28460 |
| 虎牙矫正 | 29551 | 18619 | 24085 | 24459 |
| 牙齿不齐 | 28796 | 14065 | 21430 | 22393 |
| 牙齿稀疏 | 32058 | 12283 | 22170 | 23645 |
| 牙齿拥挤 | 29920 | 21072 | 25496 | 23085 |
| 隐适美 | 16763 | 10867 | 13815 | 13833 |
| 隐形正畸 | 30116 | 10705 | 20410 | 22344 |
| 金属托槽矫正 | 21256 | 10783 | 16019 | 17492 |
| 自锁托槽矫正 | 24914 | 10777 | 17845 | 18866 |
| 透明托槽矫正 | 17096 | 10960 | 14028 | 14781 |
| 透明隐形矫正 | 18275 | 10773 | 14524 | 14812 |
| 隐形矫正 | 24485 | 10740 | 17612 | 16226 |
| 隐形牙套 | 20787 | 10914 | 15850 | 15870 |
| 牙齿拥挤矫正 | 27045 | 10831 | 18938 | 18452 |
| 地包天矫正 | 28519 | 10780 | 19649 | 21345 |
| 凸嘴矫正 | 20998 | 10789 | 15893 | 17407 |
| 金属托槽 | 21287 | 10941 | 16114 | 17102 |
| 半隐型矫正 | 25977 | 10933 | 18455 | 17037 |
| 陶瓷矫正 | 30340 | 10921 | 20630 | 21210 |
| 深覆颌 | 28061 | 10857 | 19459 | 20256 |
| 牙套 | 32232 | 10787 | 21509 | 22966 |
| 牙颌畸形 | 17508 | 10968 | 14238 | 13776 |
| 以上价格仅供参考,实际价格请预约医院面诊获取! | ||||
| 各地活动力度不同,价格有所不同,到院面诊为准! | ||||
