牙康安口腔医院介绍
牙康安口腔医院是一家是一所正规、专业,精致的口腔专科医院,医院内配齐了先进的医学设备,拥有资深口腔医师80多名,医学综合实力强大,可以帮助每一位口腔患者解决问题,受到了市内政府的支持,成为了当地一所实力强大的口腔医院,在医学道路上越走越远。
牙康安口腔医院开设了口腔护理科,口腔正畸科,口腔矫正科,口腔美容科多等个科室,每个科室在自己的领域内都有所成就,治疗手段十分先进高超,多年以来,解决了无数的手术难题,受到了业界的广泛认可。

牙康安口腔医院环境介绍
牙康安口腔医院对环境是比较重视的,每个地方都是经过深度地清理确保每一个患者都能感受到医院的干净,很多患者对医院的环境都是比较满意的,总体满意度也得到了进一步的提升,口碑也是比较不错的
牙康安口腔医院设备介绍
牙康安口腔医院每年都会进行设备地革新,确保医疗水平是在一个标准线以上的,这些设备就包括了全景曲面断层ct,意大利冷光美白仪以及超声骨刀、高频电刀、根管机扩系统等,在口腔治疗之中取得了不错的成绩。
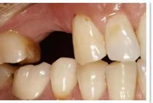
牙康安口腔医院种植牙齿案例分析
人老了,牙齿也开始掉落了,最近几天掉牙的频率变高了,严重影响了我的日常生活,连吃法都变得很困难,因此找到了牙康安口腔医院进行种植牙齿手术,希望能改善我的牙齿情况。
术前图片

医院给我留下了不错的印象,医务人员很专业也很热情,做手术的时候没有任何的失误,一步到位,最后手术顺利地完成了。
术后图片

手术过后,我的牙齿基本上都是补齐了,现在日常生活是没什么影响了,吃法也正常了,感谢医院对我的帮助。医院建议我定期复查,以免牙齿再次出现掉落的现象,我会听从建议的,我相信这家医院。
牙康安口腔医院口碑
牙康安口腔医院在当地的口碑是十分不错的,这得益于医院一直在医学技术和护理这两块不断进步所造成的,解决了许多患者多年的口腔问题,受到了许多的好评。
牙康安口腔医院乘车路线
66路或者8路到府前街站下车
价格表
| 整形项目价格表 | |||
|---|---|---|---|
| 项目名称 | 最高价格 | 最低价格 | 参考均价 |
| 牙齿种植 | 20200 | 6930 | 13565 |
| 全瓷牙种植 | 23864 | 9890 | 16877 |
| 前牙种植 | 38110 | 7955 | 23033 |
| 烤瓷牙种植 | 31821 | 9852 | 20837 |
| 全口牙种植 | 272348 | 83247 | 177798 |
| 牙齿拥挤 | 29088 | 20693 | 24891 |
| 单颗牙种植 | 32976 | 12182 | 22579 |
| 纯钛烤瓷牙 | 22400 | 6160 | 14280 |
| 二氧化锆烤瓷牙 | 22400 | 6160 | 14280 |
| 全瓷烤瓷牙 | 22801 | 6019 | 14410 |
| 烤瓷牙 | 20200 | 6930 | 13565 |
| 牙齿脱落矫正 | 33243 | 10537 | 21890 |
| 微创种植 | 25404 | 9496 | 17450 |
| 半口牙种植 | 151680 | 50918 | 101299 |
| 多颗牙种植 | 182996 | 26093 | 104545 |
| 种植牙/颗 | 19830 | 8969 | 14400 |
| 瑞士ITI种植牙/颗 | 20520 | 8998 | 14759 |
| 美国3I种植牙/颗 | 24748 | 7687 | 16218 |
| 德国费亚丹种植牙/颗 | 17266 | 10826 | 14046 |
| 瑞典诺贝尔种植牙/颗 | 20891 | 10598 | 15745 |
| 德国贝格种植牙/颗 | 19960 | 8155 | 14058 |
| 美国百康种植牙/颗 | 17466 | 7224 | 12345 |
| 瑞典诺贝尔种植/颗 | 22834 | 10538 | 16686 |
| ITI瑞锆种植牙/颗 | 17159 | 7676 | 12418 |
| 韩国奥齿泰种植牙/颗 | 11192 | 6458 | 8825 |
| 韩国登特斯种植牙/颗 | 10649 | 5732 | 8191 |
| 韩国美格真种植牙/颗 | 21519 | 4918 | 13219 |
| 韩国登腾种植牙/颗 | 11328 | 4617 | 7973 |
| 韩国dio种植牙/颗 | 10592 | 5083 | 7838 |
| 德国ICX种植牙/颗 | 20199 | 10042 | 15121 |
| 法国安多健种植/颗 | 16747 | 10928 | 13838 |
| 进口种植牙/颗 | 19441 | 7735 | 13588 |
| 国产种植牙 | 12413 | 4870 | 8642 |
| 以上价格仅供参考,实际价格请到医院面诊获取! | |||
