烟台欢乐口腔是一家连锁的品牌,成立的时间是2007年,是一家汇集了管理和教学,以及培训科研医疗为一体的大型口腔医疗机构,多年来已经获得了很多的荣誉称号,并且是国内和本地最先进的治疗口腔单位。医院的医疗团队非常的强大,是来自北大口腔的医生团队,每一位医生的经验都非常丰富,拥有最先进的治疗技术。医院秉持着专业的服务态度,让每一位患者都拥有最健康的牙齿和欢乐的微笑。

医院环境
烟台欢乐口腔医院的占地面积有2300多平方米,医院的环境很优美,采用了一人一机的治疗方式,让每一个患者都有最安全的治疗,并且有舒适的休息室以及独立的治疗室。
医院设备
烟台欢乐口腔医院拥有最先进的治疗仪器,有口腔数字化CT扫描机和显微镜下超薄美容牙以及数字化引导种植牙和冷光美白仪器和检查仪器等等。
案例分析
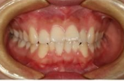
术前
我上小学的时候就感觉吃鸡的牙齿不是很漂亮,到现在上大学我看到朋友的牙齿都非常的整齐而且很洁白,我就觉得我的牙齿可能就是天生是这样的,但是自己也通过网络了解到了很多的信息。能够通过一些牙齿的矫正进行改变。所以选择了这家口腔医院,想把我的牙齿变好看一些。

术中
因为我的牙齿有一点点不好,在检查的时候医生拍了CT片子,看到很多的牙齿问题,所以我的治疗周期可能会长一些,但是为了让牙齿变整体,我是可以接受的,在进行了牙齿治疗之后开始做牙模,在5天的术后医生给我打电话让我佩戴牙套。医生的操作手法非常的娴熟,而且特别的顺利。
术后
在佩戴牙套的前一周可能会牙齿不适,我就喝一些小米粥和清淡的蔬菜,为了让自己的牙齿健康一些,每天也会刷牙漱口。在半年的时间,感觉牙齿有了不小的变化,也到医院进行了复查,医生说恢复的很好,也调整了牙套的松紧度。这家医院的医生服务真的好热情。大家如果想进行牙齿矫正的话,一定要来这里。

医院口碑
这家医院成立的时间非常的悠久,而且每年都会接诊很多的患者,用最先进的治疗技术,为每一位患者都提供最安全最高效率的治疗,并且得到了广大消费者的一致认可和好评。
医院路线
乘坐公交33路、53路、566路、5路均可以到达医院。
价格表
| 整形价格表 | |||||
| 整形项目 | 高价 | 低价 | 均价 | 当日 | |
| 牙齿矫正 | 29710 | 10723 | 20216 | 8350 | |
| 隐形牙套 | 23558 | 10957 | 17257 | 6619 | |
| 金属牙套 | 22323 | 10951 | 16637 | 8616 | |
| 镶牙 | 21788 | 10834 | 16311 | 5314 | |
| 拔智齿 | 22984 | 10995 | 16989 | 8441 | |
| 牙齿脱落 | 24296 | 10848 | 17572 | 3393 | |
| 微创种植 | 21853 | 10860 | 16356 | 2304 | |
| 美白贴片 | 32886 | 10766 | 21826 | 6276 | |
| 牙齿美白 | 32812 | 24223 | 28517 | 6113 | |
| 地包牙矫正 | 28928 | 22043 | 25485 | 5072 | |
| 牙齿疾病 | 27079 | 13217 | 20148 | 1993 | |
| 以上价格仅供参考,实际价格请预约医院面诊获取! | |||||
| 各地活动力度不同,价格有所不同,到院面诊为准! | |||||
