烟台口腔医院莱山分院介绍
烟台口腔医院莱山分院是是一所集医教研于一体的非营利性二级口腔专科医院,与多家知名医学机构和大学合作,拥有强大的医学实力和设备,可以帮助每一位口腔患者进行修复治疗,多年以来,创造出了许多优秀的成绩,成为了当地优质口腔医院之一。
烟台口腔医院莱山分院一直秉承“为患者提供最佳医疗服务”的理念,提高医院的各个方面,医学实力不断提升,医务人员的技术和专业程度不断增强,医院的设备也越来越完善,致力成为国内优秀牙齿医院代表,在口腔医学道路上不断发展。
医院内会对每一个口腔患者提供一对一的服务和护理,确保每一位患者都能感受到医院对其的关怀,留下了不错的影响,给予了高度的认可,医院的满意度也得到了大幅度提升。

烟台口腔医院莱山分院环境介绍
烟台口腔医院莱山分院十分重视环境这方面的,对于医院内外会进行深度地清理和打扫,确保环境的安全,并且在病房和科室都采用一对一的服务模式,每个病人都拥有属于自己的病房,病房的装饰十分漂亮,受到了许多患者的喜爱。
烟台口腔医院莱山分院设备介绍
烟台口腔医院莱山分院的设备都是国外引进过来的,拥有强大的治疗性能,并且每个科室都配齐了这样先进的设备,这些设备就包括了艾迪克、卡瓦E30口腔综合治疗台、NEWTOM高端三合一影像。
烟台口腔医院莱山分院烤瓷牙案例分析
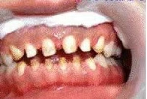
我的牙齿很不整洁漂亮,一半的牙齿都已经发黄了,所以想要安装烤瓷牙,觉得这个这个牙齿漂亮,就找到了烟台口腔医院莱山分院进行手术。
术前图片

烤瓷牙手术完成得挺快的,效果也不错。
术后图片

经过几周的调理,我的牙齿基本上恢复了,手术之后的烤瓷牙是既漂亮又坚固,很洁净,现在说话也是越来越自信了,感谢医院对我的帮助。
烟台口腔医院莱山分院口碑
烟台口腔医院莱山分院医学实力十分强大,从建立到现在,解决了很多患者的牙齿问题,受到了许多患者的喜爱和认可,在当地树立了形象,也建立了口碑。
烟台口腔医院莱山分院乘车路线
52路到前七夼站下车
价格表
| 整形价格表 | ||||
| 整形项目 | 高价 | 低价 | 均价 | 当日 |
| 烤瓷牙补牙 | 20686 | 10878 | 15782 | 15773 |
| 烤瓷牙种植 | 28947 | 10784 | 19865 | 21671 |
| 全瓷牙种植 | 19371 | 10884 | 15127 | 16529 |
| 合金烤瓷牙 | 17661 | 10984 | 14322 | 14734 |
| 贵金属烤瓷牙 | 27653 | 10702 | 19177 | 18286 |
| 二氧化锆全瓷牙 | 26101 | 10833 | 18467 | 17747 |
| 镶牙 | 20861 | 10987 | 15924 | 15064 |
| 牙冠 | 30439 | 10752 | 20595 | 21054 |
| 前突牙 | 28234 | 10729 | 19481 | 19934 |
| 内收牙 | 29479 | 10834 | 20156 | 19821 |
| 牙齿脱落 | 22547 | 10709 | 16628 | 17268 |
| 微创种植 | 27339 | 10859 | 19099 | 18923 |
| 活动假牙 | 27959 | 17609 | 22784 | 23478 |
| 假牙 | 19851 | 10834 | 15342 | 16109 |
| 以上价格仅供参考,实际价格请预约医院面诊获取! | ||||
| 各地活动力度不同,价格有所不同,到院面诊为准! | ||||
