一、扬州金铂利口腔医院介绍
扬州金铂利口腔医院的医学技术一直是比较有名的,多么难解决的疑难杂症,在这家医院总是能得到有效的治疗,凭借着优异的医学技术自然就收获了不少的医学荣誉奖项,也是很多口腔患者选择这家医院的一个重要理由。
扬州金铂利口腔医院除了医学技术强,医院的医学服务也是一直收到很多人好评的一个方面,主要是医院对于刚做过手术的患者提供温馨的医学服务,只要有什么不舒服的话,医院都会第一时间安排病房,并且后期修复有什么难处,医院也会第一时间解答,把医学服务做到心理。

二、医院环境
医院在环境这块也是做的很好的,基本上没有一处很脏的地方,即使是死角也会全方位的去清洗,不留下一个污点,在人流量多的地方还会多次清洗,提供干净的环境,收到卫生组织的多次表扬。
三、医院设备
医院配齐了比较先进的医学设备,其中就包括了口腔科室内配置的各种牙齿机械,比如说牙齿补牙机械就很好地发挥了自己的性能,在补牙这块做的十分出色,并配齐了各种辅助机械,帮助治疗,其中一些辅助设备是可以给患者使用的。
四、扬州金铂利口腔医院牙齿纠正案例分析
我的牙齿真的是不够好看,张开嘴就能看见自己的牙齿有多么不整齐,导致我很内向也不敢说话,就想要通过牙齿纠正来完成手术,就找到了扬州金铂利口腔医院。
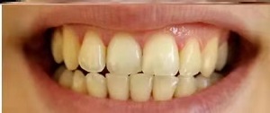
术前图片

做手术我配合医生们的操作,我相信医生们都是优秀的,最后也是如此,没有出现任何的异常情况,牙齿得到了改善。
术后图片

不过牙齿想要完全改善,就需要几周的调养,这个期间不要出任何刺激性的食物和硬物,就能得到有效恢复。
五、扬州金铂利口腔医院口碑
扬州金铂利口腔医院是一家优质的牙科医院,每年都能解决很多人的牙齿问题,收获了很多的好评,并且不定期的会进行口腔讲座和检车,帮助大家解决疑惑,因此该医院在当地拥有不错的口碑和名字,是可以放心信任的一家医院。
六、扬州金铂利口腔医院乘车路线
67路到扬州小石路下车
七、价格表
| 整形价格表 | ||||
| 整形项目 | 高价 | 低价 | 均价 | 当日 |
| 美容冠 | 32925 | 12353 | 22639 | 20436 |
| 龅牙矫正 | 31550 | 23748 | 27649 | 28497 |
| 地包牙矫正 | 32093 | 23372 | 27732 | 26814 |
| 虎牙矫正 | 27640 | 18168 | 22904 | 22160 |
| 牙齿不齐 | 28444 | 13763 | 21103 | 21196 |
| 牙齿稀疏 | 26854 | 13397 | 20125 | 19600 |
| 牙齿拥挤 | 31739 | 21260 | 26499 | 26336 |
| 隐适美 | 17667 | 10855 | 14261 | 15416 |
| 隐形正畸 | 17775 | 10778 | 14276 | 15224 |
| 金属托槽矫正 | 24043 | 10721 | 17382 | 15994 |
| 自锁托槽矫正 | 30581 | 10993 | 20787 | 19083 |
| 透明托槽矫正 | 25630 | 10997 | 18313 | 19715 |
| 透明隐形矫正 | 19193 | 10893 | 15043 | 15804 |
| 隐形矫正 | 26748 | 10993 | 18870 | 20711 |
| 隐形牙套 | 21855 | 10794 | 16324 | 15791 |
| 牙齿拥挤矫正 | 32519 | 10951 | 21735 | 21556 |
| 地包天矫正 | 17732 | 10761 | 14246 | 13615 |
| 凸嘴矫正 | 26518 | 10903 | 18710 | 18249 |
| 金属托槽 | 30971 | 10874 | 20922 | 20843 |
| 半隐型矫正 | 32176 | 10824 | 21500 | 23455 |
| 陶瓷矫正 | 31737 | 10854 | 21295 | 22624 |
| 深覆颌 | 31528 | 10881 | 21204 | 20688 |
| 牙套 | 25429 | 10846 | 18137 | 18378 |
| 牙颌畸形 | 25021 | 10772 | 17896 | 16817 |
| 以上价格仅供参考,实际价格请预约医院面诊获取! | ||||
| 各地活动力度不同,价格有所不同,到院面诊为准! | ||||
