优伢仕口腔医院介绍
优伢仕口腔医院是一家优质的口腔医院,集聚优秀的口腔人才和先进诊疗设备倾心致力于口腔疾病治疗与保健,打造健康的医疗环境,以口腔治疗,口腔预防,口腔护理三位一体的口腔连锁品牌,在当地解决了很多患者的口碑问题,受到了诸多好评。
优伢仕口腔医院每个科室的医疗人员都是经过严格培训的,都曾担任过手术的主刀医生,可以有效地帮助患者解决口腔问题。同时,医院内的资深医生就达到了10几名以上,这些医生在当地也是比较受欢迎的,可以进行有效的治疗。
优伢仕口腔医院每年都会进行免费地口腔检查,确保当地人民的口腔安全,为当地口腔医学做出了许多的贡献。

优伢仕口腔医院环境
优伢仕口腔医院一直以打造洁净医院为目标,医院内外都是经过深度地清理,确保每一个地方都是干净,并且经过卫生组织的多次排查,排查结果都为优秀以上,可以给每一位患者提供干净的场所,对于消毒这块做的也到位,每天定期消毒。
优伢仕口腔医院设备
优伢仕口腔医院配齐了较为先进的口腔设备,这些设备大多都是从德国引进过来,在治疗上发挥了充分的作用,极大地提供了医生们的手术效率,让过多的人得到口腔治疗,并且一些辅助设备也是可以拱大家免费试用的。
优伢仕口腔医院洗牙案例分析
我的牙齿看起来不够干净,怎么洗也不干净,因此就想要通过优伢仕口腔医院的帮助下,进行相关的口腔手术,来获得一双洁白的牙齿。
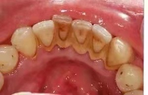
术前图片

做手术做的很快,一小时就结束了,洗完之后,牙齿真的变白了很多。
术后图片

现在走出去我不会很自卑,因为现在的牙齿真的好看也很洁白,感谢优伢仕口腔医院对我的帮助。
优伢仕口腔医院口碑
优伢仕口腔医院多年下来的努力,让许多患者得到了一双洁白干净的牙齿,收获了很多人的好评,同时积累了不错的口碑,是当地口碑较好的口腔医院之一,并且不断致力于口腔医学的发展。
优伢仕口腔医院乘车路线
366路到喻家冲站下车
价格表
| 整形价格表 | ||||
| 整形项目 | 高价 | 低价 | 均价 | 当日 |
| 超声波洁牙 | 2373 | 434 | 1403 | 1281 |
| 咖啡牙美白 | 2151 | 404 | 1277 | 1350 |
| 喷砂洁牙 | 2079 | 318 | 1198 | 1246 |
| 色素牙美白 | 8263 | 456 | 4359 | 4025 |
| 四环素牙美白 | 7000 | 500 | 3750 | 4074 |
| 洗牙 | 2363 | 375 | 1369 | 1260 |
| 牙齿冷光美白 | 2154 | 468 | 1311 | 1411 |
| 牙齿抛光 | 1784 | 373 | 1078 | 1055 |
| 牙齿漂白 | 2027 | 411 | 1219 | 1294 |
| 烟渍牙美白 | 2012 | 487 | 1249 | 1244 |
| 冷光美白 | 2149 | 491 | 1320 | 1297 |
| 皓齿美白 | 2166 | 498 | 1332 | 1408 |
| 牙黄变白 | 2238 | 476 | 1357 | 1489 |
| 氟斑牙美白 | 2059 | 446 | 1252 | 1288 |
| 变色牙美白 | 2058 | 458 | 1258 | 1295 |
| 黑牙美白 | 2357 | 451 | 1404 | 1419 |
| 茶渍牙美白 | 2227 | 462 | 1344 | 1461 |
| 牙美白 | 2116 | 450 | 1283 | 1381 |
| 以上价格仅供参考,实际价格请预约医院面诊获取! | ||||
| 各地活动力度不同,价格有所不同,到院面诊为准! | ||||
