导语
笑起来整齐洁白的牙齿是让人羡慕的,但是对很多人来说本身牙齿的基础条件不太好,早点发现早点矫正,矫正牙齿的时间往往很长,费时费力,这就很考验医生的技术,很多人受牙齿发黄等问题的困扰,牙齿贴面就可以轻松解决,但是医生的审美就决定了做出来的效果,所以选择哪家医院哪个医生就显得相当重要了,下文为您推荐一位技术精湛的口腔医生,希望能够给你带来帮助,下面就让我们一起了解她吧!
医生介绍
匡慧玲,女,毕业于三峡大学医学院,,曾就职于宜昌市人民医院,现就职于宜昌市同仁口腔门诊部,曾在武汉大学口腔医学院进修并顺利结业,多次参加国内关于口腔技术的培训,实践经验丰富,具有良好的专业素养,从事口腔行业从2001年至今,为许多患者提供了专业的帮助。擅长牙齿矫正,牙齿修复,牙贴面美学修复,在治疗牙齿疾病方面也有着丰富经验。曾获得中华口腔医学会会员,瓷贴面美学修复医师,口腔种植学会(ITI)会员,隐适美隐形矫正认证医师等荣誉。

案例展示
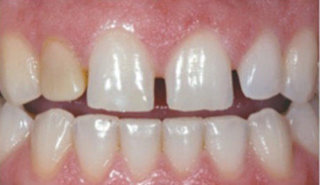
术前:我的牙齿还算整齐,就是很黄,门牙间隙也很大,来医院咨询,医生推荐我做牙贴面手术,一共跑了两次,第一次去设计方案并且决定了颜色,做了磨具,期间选择颜色的时候医生很耐心,为了选择出最适合我的颜色用的时间长了点,所以很感谢匡医生。

术中:一开始很害怕,在查相关资料的时候听说要磨牙齿,所以就很紧张,到自己磨牙齿的时候其实没什么感觉了,我问了医生,她说其实是为了磨出贴面的那个面,整个过程不疼没啥感觉,就一直张着嘴会有点酸
术后:刚做好会有一点不习惯,过两天就好了,效果还是很满意的,牙白了化妆都好看了许多

价格表
| 整形项目价格表 | |
| 整形项目 | 本月整形价格参考 |
| 3DS超薄瓷贴面 | 10988-31725 |
| 牙齿瓷贴面 | 10839-28186 |
| E-MAX | 10733-27345 |
| 3D全瓷牙贴面 | 10810-23123 |
| Mega隐形瓷贴面 | 10987-20878 |
| 美国皓齿 | 10876-23342 |
| 瓷贴面 | 10866-24224 |
| 以上价格仅供参考,实际价格请预约医院面诊获取! | |
| 各地活动力度不同,价格有所不同,到院面诊为准! | |
