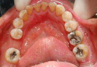
牙釉质磨损怎么修复及费用详解牙釉质,作为牙齿较外层的坚硬保护层,其完整性对于维护口腔健康至关重要。随着年龄增长、不良饮食习惯及错误的口腔护理方式,牙釉质磨损成为
长智齿:成长的烦恼与不解之谜在人生的某个阶段,许多人都会遭遇一场口腔的“小革命”——智齿的萌出。这颗姗姗来迟的牙齿,不仅承载着成长的印记,也时常伴随着疼痛与困惑
牙神经外露怎么治疗?如何追求较好治疗效果?牙齿作为我们身体的重要部分,不仅关乎咀嚼功能,还直接影响我们的外貌和自信心。当牙神经外露时,不仅会带来剧烈的疼痛,还可